website templates free download



Elbow Conditions

Cubital Tunnel Syndrome, Elbow Fractures & Breaks and Elbow Arthritis

Sameer Singh Elbow Conditions

Cubital Tunnel Syndrome

This is due to compression of the ulnar nerve behind the elbow. It gives rise to pain, numbness, and tingling in the ring and little finger. It can also cause weakness of the muscles in the hand. Nerve tests are often required to confirm the diagnosis. Depending on symptoms, the nerve can be released and the compression removed. Diagnosis can often be made by a careful history and examination and this can be provided by the team at shoulder, elbow, hand.

Sameer Singh Elbow Conditions

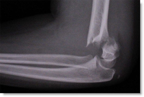
Elbow Fractures & Breaks

Elbow fractures can occur following falls or direct impact to the elbow. It is extremely important for an early accurate diagnosis. This can usually be obtained with an x-ray, but in some cases a CT scan may be required. It is important to rehabilitate the elbow correctly to prevent any pain or stiffness in the long-term. If you do have a suspected elbow fracture, it is important to contact the team at shoulder, elbow, hand early, so that x-rays can be reviewed prior to your consultation.  

Sameer Singh Elbow Conditions

Elbow Arthritis

Arthritis within the elbow is uncommon compared to other joints in the body. It can give rise to pain and loss of movement. Early treatments involve removal of bone spurs, which can be performed arthroscopically. End-stage treatment would involve elbow replacement.

Mr Sameer Singh's specialist areas